近日,计算机与人工智能学院在肿瘤图像分割领域研究工作取得重要进展,相关成果《SuperLightNet: Lightweight Parameter Aggregation Network for Multimodal Brain Tumor Segmentation》发表在计算机国际顶级会议CVPR 2025上,姜明华教授为论文的通讯作者,所有作者单位均为武汉纺织大学。
在MRI多模态脑肿瘤分割任务中需要大量计算资源和高性能计算设备。多模态3D肿瘤分割的关键挑战在于如何在保持高精度的同时,最小化网络的计算负载。本论文提出了一种新型的轻量化参数聚合网络(SuperLightNet),用于实现高精度、低计算量的高效编码器和解码器。实验结果表明,与当前最先进的方法相比,该方法的参数量减少了95.59%,计算效率提高了96.78%,内存访问性能提升了96.86%,平均性能提升了0.21%。

图1 提出的SuperLightNet网络结构

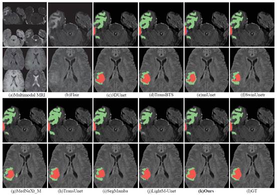
图2 脑肿瘤分割结果对比
计算机视觉与模式识别(Computer Vision and Pattern Recognition,CVPR)会议是计算机视觉与模式识别、人工智能领域的国际顶级会议,其在谷歌学术热门出版物排名第2(h5指数440),影响力仅次于Nature,是中国计算机学会(CCF)推荐的A类会议。本届CVPR有效投稿共13008篇,最终接收2878篇(接收率22.1%)。

图3谷歌学术热门出版物排行榜
近年来,在学校的大力支持下,计算机与人工智能学院凝聚学科方向,加强科研团队建设,科研成效逐渐凸显,相继发表了一批高水平论文,受到了同行的关注和认可。
